Featured image of post Rat Mammary Glands

Rat Mammary Glands

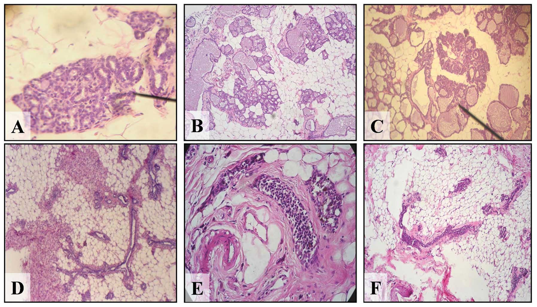
article schweizer1989ratmg title rat mammary gland fatty acid synthase

Built with Hugo Cuy
Theme Reang Cuy v.%!(EXTRA string=2.0.1) designed by Ngopi24Jam.cuy